新型冠状病毒肺炎(COVID-19)在过去不到两年的时间里在全世界蔓延,目前超过2亿人次被感染,四百万人因此失去生命,给人类社会造成了巨大的危害。而新冠病毒(SARS-CoV-2)是导致该疾病的主要病原体。作为一种单链RNA病毒,SARS-CoV-2的突变速度很快。近期各地出现的多种不同的新冠病毒变异株让疫情雪上加霜。为了最终战胜病毒保护人类,科研和医务工作者作出了巨大的努力研究病毒的传播机制、感染特点,致力于开发相应的快速检测、免疫和治疗方法。目前已知,病毒感染人体的第一步,是由病毒上刺突蛋白Spike的受体结合域(RBD)与人类血管紧张素转换酶2(ACE2)之间,通过氨基酸的非共价相互作用结合。因此RBD蛋白结构上的氨基酸的种类决定了其黏附人体受体细胞的强度和能力。而近期出现的多种具有更强传染性和潜在危害的新冠变异株在RBD部位都出现了氨基酸突变。例如在变异株Alpha(B.1.1.7)、Beta(B.1.351)和Gamma(P.1)的刺突蛋白RBD区域都出现了N501Y的氨基酸突变,该突变可能是导致病毒对人类具有更强的传染性的原因之一。
太阳集团tcy8722郑鹏教授与生命科学公司董咸池教授、童贝老师合作,利用单细胞力谱技术(Single-cell Force Spectroscopy)、分子动力学模拟和经典的蛋白结合动力学测量技术,进行了实验和理论相结合、多学科多手段的交叉研究工作。通过定量测量和原子水平的分子动力学模拟,发现RBD结构域上的N501Y突变导致这些变异株具有更强结合人体受体蛋白ACE2的能力,极大的提高了病毒黏附细胞的强度和概率,可能是导致这几类类新冠变异株病毒在最近一年广为扩散的重要原因之一。值得一提的是,该研究成果被八月份刚出版的世界卫生组织(WHO)新冠变异株监控报告所引用,作为介绍该突变影响的重要参考文献(https://apps.who.int/iris/handle/10665/343775)。

图1. 荧光定量检测揭示N501Y突变与ACE2具有较高的结合亲和力
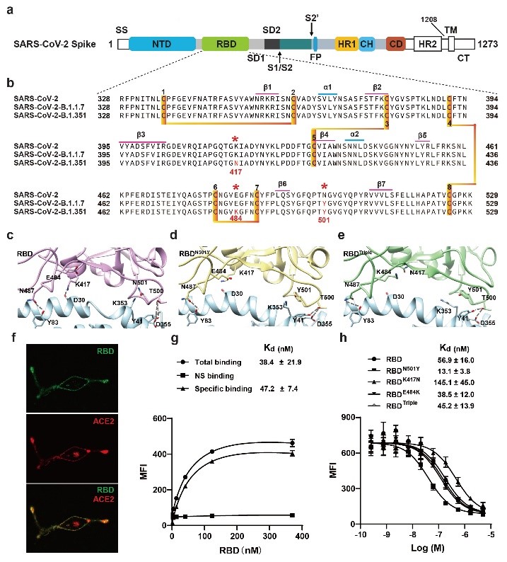
在文章中,作者首先通过经典的表面等离子体共振(SPR)和荧光激活细胞扫描检测发现,Alpha变体的N501Y突变与细胞表面ACE2的结合亲和力约为野生型RBD蛋白的4倍,而Beta型的三突变(N501Y、K417N和E484K)RBD蛋白与野生型的亲和力相似,且单个的K417N和E484K突变也表现出略弱或相似的亲和力。基于以上表明,N501Y的突变,是RBD蛋白结合ACE2具有较高结合亲和力的关键氨基酸。

图2. 单细胞力谱实验定量测量各类RBD突变体结合ACE2的强度和概率
进一步,作者采用基于原子力显微镜的单细胞力谱技术(Atomic force microscopy-based single cell force spectroscopy, AFM-SCFS)定量测量了各类RBD蛋白突变体在活细胞表面的结合强度。实验利用天冬酰胺连接酶OaAEP1酶连的方法将不同的RBD蛋白特异性的固定在AFM的针尖上,通过针尖移动去接触细胞表面的ACE2,从而精准的测量RBD-ACE2蛋白之间的相互作用力。通过测量得到两种突变蛋白与ACE2的结合力约为60 pN。相比于野生型蛋白(49 pN),其结合力明显提高约15%。同时在相同条件下测量了突变体以及野生型与ACE2的结合概率,突变蛋白与ACE2的结合概率(约10%)也明显大于野生型的RBD蛋白(3%)。通过该实验显示出两种突变体都具有更高的结合力和结合概率。

图3. 拉伸分子动力学模拟揭示各类RBD-ACE2复合物相互作用的结构细节
最后,文章对RBD-ACE2复合物进行了拉伸分子动力学模拟(SMD),从原子水平揭示了复合物相互作用可能的结构细节。通过模拟发现,RBD蛋白N501Y的突变,与ACE2上的Y41和K353氨基酸,分别形成了稳定的π-π、阳离子-π相互作用,从而加强了他们之间的相互作用。综上所述,这项工作发现了新冠病毒变异株种RBD的N501Y突变导致其与人体受体细胞ACE2的结合强度和概率都大为提高,是这些变异株具有更高传率的重要原因之一。同时该工作也揭示了RBD区域的关键氨基酸突变是提高新冠病毒变异株感染率的原因之一。我们必须对该蛋白区域的氨基酸突变保持警惕和监控,从而更好的预防和应对将来可能出现的更具有危害性的新冠病毒变异株。
相关研究成果以“N501Y Mutation of Spike Protein in SARS-CoV-2 Strengthens its Binding to Receptor ACE2”为题在线发表在国际著名期刊eLife上(https://elifesciences.org/articles/69091)。太阳成集团2018级博士生田芳与生命科学公司童贝为本文的共同第一作者。此项研究得到了配位化学国家重点实验室、太阳成集团化学和生物医药创新研究院(ChemBIC)和太阳成集团高性能计算中心的大力支持,也得到了国家自然科学基金和江苏省自然科学基金等经费的支持。
